Tin mới

Thứ Hai, 6 tháng 12, 2021

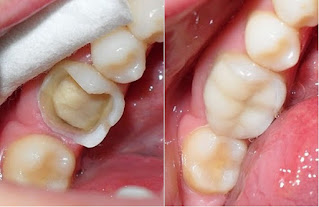
Quy trình trám răng thẩm mỹ

Trám răng sâu là một trong những bước giúp chữa trị hàm răng của bạn loại bỏ những vị khuẩn do axit gây nên. Cùng chúng tôi tìm hiểu qua bài viết Quy trình trám răng sâu tốt nhất hiện nay.

Quy trình trám răng thẩm mỹ-1

Trám răng là gì?

Trám răng thẩm mỹ là một phương thức điều trị nha khoa đơn giản, giúp khôi phục lại hình dáng của răng, ngăn chặn sự xâm hại từ các hóa chất, niềng răng giai đoạn nào đau nhất vi khuẩn làm ảnh hưởng tới men răng…Trám răng xong có thể niềng răng hô hàm trên không?


Trám răng hiện nay là một giải pháp hoàn thiện giúp phục hồi răng về cả phương diện chức năng và thẩm mỹ, tuy nhiên đây cũng là kỹ thuật tương đối phức tạp vì có yêu cầu cao ở người bác sĩ sự tỉ mỉ, khéo tay thì miếng trám mới mang tính thẩm mỹ và đạt hiệu quả tốt như mong muốn.


Vật liệu trám hiện rất đa dạng và ngày càng tối ưu hóa cả về khả năng tồn tại lẫn màu sắc như răng thật giúp cho người bệnh có nhiều lựa chọn hơn trong khôi phục tình trạng răng miệng.

Quy trình trám răng thẩm mỹ-2

Quy trình trám răng thẩm mỹ

Phương pháp trám răng thẩm mỹ tại nha khoa được tiến hành thực hiện tuần tự theo các bước cụ thể như sau:


Bước 1: Khách hàng được các bác sĩ hỗ trợ thăm khám tình trạng khuyết điểm hiện tại. Hỗ trợ tư vấn phương pháp khắc phục và cung cấp thêm một số thông tin liên quan cho mọi người.


Bước 2: Ở bước này các bác sĩ tiến hành vệ sinh răng miệng cho khách hàng trước khi thực hiện. Đồng thời, chuẩn bị những dụng cụ cần thiết cho quá trình thực hiện trám răng.


Bước 3: Trước tiên, có thể bác sĩ sẽ gây tê (khi cần thiết) đối với các trường hợp răng bị sâu quá nặng và làm cho bệnh nhân đau nhức trước đó để bệnh nhân không còn cảm giác đau nhức khi trám răng.


Bác sĩ sẽ sử dụng những dụng cụ chuyên khoa làm sạch những vụn thức ăn, ngà sâu trong lỗ sâu. Tiếp đó, bác sĩ dùng mũi khoan để tạo hình xoang trám thích hợp cho từng loại vật liệu trám và từng kỹ thuật trám răng khác nhau.


Bước 4: Bước này được tiến hành trong phòng khép kín và được hỗ trợ bởi hệ thống máy móc hiện đại. Mất khoảng tầm 45 - 60 phút thực hiện bước này. Kết thúc quá trình thực hiện khách hàng được các bác sĩ hướng dẫn cách chăm sóc răng miệng tại nhà. 

  • Blogger Comments
  • Facebook Comments
Item Reviewed: Quy trình trám răng thẩm mỹ 9 out of 10 based on 10 ratings. 9 user reviews.
Scroll to Top